Radiology AI tools at Collective Minds
Radiology AI tools at Collective Minds
To support our radiology community and to drive confidence and adoption of new technology in radiology, we have several partnerships with AI-partners.
Find your partner of interest in the list below. Contact us if you are interested in getting access to a specific AI engine. We have created specific interest groups where you can try these tools using your own data.

AAA by AISentia

Morphological assessment and surgical planning of Abdominal Aortic Aneurysms from CTs without the introduction of intravenous contrast. It eliminates the need for harmful contrast agents, patient IV discomfort, and unnecessary radiation dosing while seamlessly integrating into the current clinical workflow. It allows patients with contrast-induced nephropathy (CIN), renal failure, or anaphylactic reaction to radiocontrast access to CTA scans which roughly represent 2% of the population.

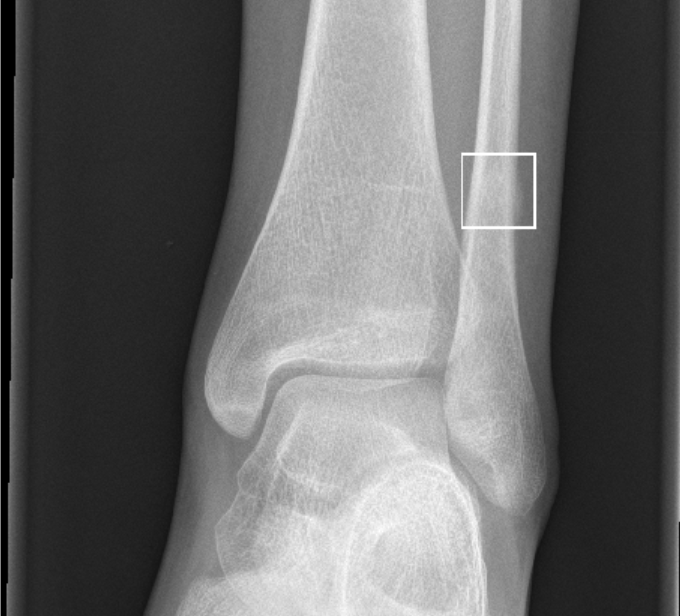
BoneView by Gleamer
Your AI assistant for bone trauma X-Rays. Highlight fractures on digital x-rays of extremities.


CoLumbo by Smart Soft
CoLumbo is an AI-based software for reading and analysis of the lumbar spine MR examinations. CoLumbo is an assistant type of software that identifies and measures all major structures of the lumbar spine, through automatic segmentation, and provides a detailed description of findings in an editable draft report.



RBKnee by Radiobotics

RBKnee assists healthcare professionals in making a radiographic analysis of osteoarthritis in the tibiofemoral and patellofemoral joints of the knee.

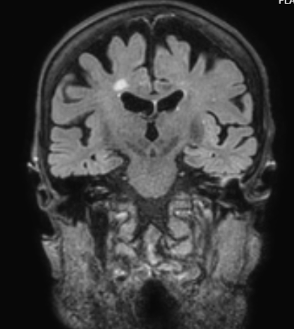
Icobrain by Icometrix
Icobrain ms – Objectively track disease progression in individual multiple sclerosis patients.
Icobrain dm – Objectively quantify relevant brain structures in individual dementia patients.
Icobrain tbi – Towards standardized and quantified interpretation of brain scans for traumatic brain injuries.
Icobrain ep – Towards a more confident diagnosis of patients with epilepsy




Keros by Incepto
Keros helps to detect anomalies in the ACL, medial and lateral menisci, medial collateral ligament, cartilage of the patellofemoral, lateral femorotibial and medial femorotibial compartments.




Search Lung CT by Contextflow
AI-based, Content-Based Image Retrieval (CBIR) web application for 3D medical imaging data. It provides qualitative and quantitative analysis results and corresponding reference information relevant for the identification and interpretation of lung-specific image patterns in CT scans.


SubtleMR by Subtle Medical
SubtleMR is a vendor-neutral image enhancement software that uses artificial intelligence to improve image quality from faster MRI exams. The software is compatible with 99% of all MRI procedures and works with all contrasts and field strengths. Centers use SubtleMR to improve image quality, extend the life of their existing scanners, and improve the patient experience during imaging procedures.


Validation studies
We can support you and your institution in setting up validation studies, comparing any AI model to your retrospective data and reading capabilities.
Leave your email address below and we will get back to you shortly!
For AI companies
Use Collective Minds as your growth engine and a source to create interest, educate and generate leads! Leave your details below and we’ll get back to you in no time!



